임신 중에는 어떤 운동이 좋을까? 박은지의 ‘신체활동과 여성건강 이야기’(11) 임신과 출산① ※ 일다의 기획 연재 는 여성들이 많이 경험하고 있는 증상 및 질병에 대한 이해와, 이를 예방하고 개선하는데 도움을 주는 신체활동의 효과에 대해 살펴봅니다. 필자 박은지님은 체육교육과 졸업 후 퍼스널 트레이너와 운동처방사로 일한 후, 지금은 연세대학교 체육연구소에서 신체활동이 우리 몸에 미치는 생리학적 영향에 대해 연구하고 있습니다. ―편집자 주 올해 조카가 생긴다. 작년에 사랑하는 동생이 임신을 했다. 그 아이가 결혼식 전에 몸매관리 해야 된다며 내게 어떤 운동을 해야 팔뚝 살이 빠지냐고 물었을 때는, 이런 저런 이야기를 해가며 몇 가지 운동도 가르쳐주고 식단도 짜주고 했다. 그런데 임신을 하고 난 뒤 어떤 ..
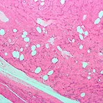
공숙영의 Out of Costa Rica (23)버자이너 다이얼로그⑤ 나의 치유, 세상의 치유 공숙영 “수술을 꼭 해야 하나? 다른 병원에서 한 번 더 검사하거나 다른 의사 말도 좀 들어봐.”작년에 코스타리카로부터 귀국한 후 자궁의 종양제거수술을 받게 되자 동생이 걱정하였습니다. “수술 받아. 큰 수술 아니니까 겁낼 거 없어. 보편적인 치료방법이야.”산부인과 전문의가 된 어릴 적 친구에게 오랜만에 연락했더니 수술을 받으라고 충고하였습니다. 수술, 전과 후 ▲ 자궁근종 마이크로사진 © 출처: 위키피디아 마치 수술은 얼른 해치워버려야 하는 과제처럼 다가왔습니다. 수술만 잘 끝나면 내 삶은 제자리로 무사히 돌아가 원래 살던 대로 살 수 있고 살면 되리라는 기대를 품었던 것입니다. 그러나 수술 후에 아무 일도 ..